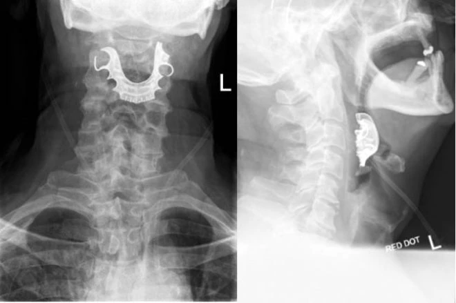
Əməliyyat zamanı protez dişləri boğazına düşdü
Penis xərçəngi oldu, orqandan 30% kəsildi
Günorta yuxusunun 5 MÜHÜM FAYDASI
Şəhidin məzarı doğma kəndinə köçürülüb - FOTO
Ukraynada Yermakın adı keçən iş üzrə əmlaklara həbs qoyulub
"Al Jazeera": İran uranı ölkədən çıxarmaqdan imtina edib
ABŞ Hörmüz boğazında əməliyyatları yenidən başlada bilər
Makron Keniyada özündən çıxdı: "Danışacaqsınızsa, çölə çıxın!”
Hakan Fidan Qətərin müdafiə naziri ilə görüşüb
ABŞ üç İran vətəndaşına və doqquz şirkətə sanksiya tətbiq edib
İran Parlamentinin sədri Qalibaf: Biz bütün variantlara hazırıq
Ərdoğanın qəti mövqeyi Makronun planını pozdu - ŞƏRH
Azərbaycan Ordusunun iki hərbçisi Kəlbəcərdə minaya düşüb
Aİ Suriyanın nazirlərinə qarşı sanksiyaları ləğv edib
Kürdlər ancaq pul alanda əla vuruşur - Tramp
“Uzak şehir”in aktyoru məşhur serialda - FOTO
Ermənistanda revanşistlər hakimiyyətə gəlsə... - Deputat
Beş ölkə İsrailə görə “Avroviziya”nı boykot edəcək
Tramp: İran nüvə silahı istehsal etməmək öhdəliyi götürmək istəmir
Pezeşkian böhrandan çıxış üçün üç mümkün ssenari təqdim etdi
İran ölkənin cənub-qərbində kəşfiyyat PUA-nı vurduğunu açıqladı
Tramp: İranla diplomatik razılaşma mümkündür
Canlı yayımda söyüş söyən 3 gənc həbs edildi
Fransa Afrika ölkələrinə 14 milyard avro sərmayə yatıracaq
İranda mülayimlər və ağılsızlar var - Tramp