Stomatoloq: Parodont xəstəlikləri diş əti iltihabı ilə başlayır

Yay aylarında sərin içki və soyuq yeməklərdən istifadə zamanı ağız boşluğunda yaranan narahatlıqlar bununla bağlıdır
  Səhiyyə Nazirliyi (SN) Sanator-Kurort Reabilitasiya Mərkəzinin həkim-stomatoloqu Əliheydər Kazımov yay aylarında vətəndaşların sərin içki və soyuq yeməklərdən istifadə zamanı ağız boşluğunda yaranan narahatlıqlar, diş ətində olan şişkinlik və qızartının qarşısının alınması, parodont xəstəliklərinin müalicəsi və s. haqqında məlumat verib.
“Sərin içki və soyuq qidaların qəbulu zamanı ağız boşluğunda termiki qıcıqlar olur. Bu qıcıqlardan sonra ağız boşluğunda, diş ətində və dişlərdə müəyyən narahatlıqlar yaranır.  Həmçinin diş ətinin qızarması, şişməsi və qıcıqlanması müşahidə olunur”.
  “Sherg.az”ın xəbərinə görə, bu sözləri Səhiyyə Nazirliyi (SN) Sanator-Kurort Reabilitasiya Mərkəzinin həkim-stomatoloqu Əliheydər Kazımov deyib. 
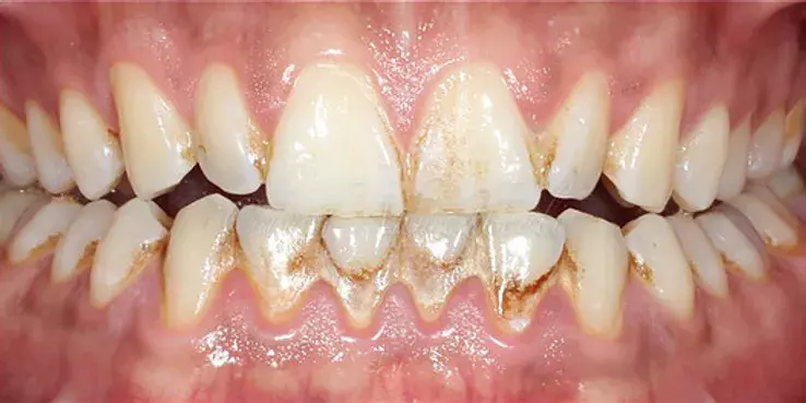
Yay aylarında vətəndaşların sərin içki və soyuq yeməklərdən istifadə zamanı ağız boşluğunda yaranan narahatlıqlar, diş ətində olan şişkinlik və qızartının qarşısının alınması, parodont xəstəliklərinin müalicəsi və s. haqqında məlumat verən həkim deyib ki,  termiki qıcıqlar soyuq-isti maddələrin qarışığından baş verir. Bu isə dişlərin sinirlərində ciddi problemlərə yol açır: “Bununla yanaşı, damaqlarda problemlər meydana gəlir. Dəfələrlə təkrarlandıqda isə xroniki hala çevrilir və ağız boşluğunda müxtəlif xəstəliklərin yaranmasına gətirib çıxarır. Yay aylarında sərin içkilərin qəbulu parodont kimi stomatoloji xəstəliyin yaranmasına səbəb ola bilər. Parodont toxumalarına diş əti, diş, periodont, diş kökü sementi və alveol sümüyü aiddir. Parodont toxumaları vahid bir sistem təşkil edir. Bu sistem dişlərin sümükdə möhkəmliyini təmin edir və çeynəmə təzyiqini nizamlayır. Parodont xəstəlikləri diş əti və dişi yuvasında saxlayan toxumaların iltihabi xəstəlikləridir. Bu xəstəliklər diş əti iltihabı ilə başlayır. Vaxtında müalicə edilməzsə, parodontitə qədər irəliləyərək diş əti və dişləri dəstəkləyən alveol sümüyündə geriyədönməz proseslər meydana gətirə bilirlər. Bununla da, dişlərin laxlaması və nəticədə itirilməsi baş verir. Diş itirilmələrinin 70 faiz səbəbi parodont xəstəlikləridir. Bu xəstəliklərə erkən dövrdə diaqnoz qoyulduqda və düzgün müalicə tədbirləri seçildikdə, asan və effektiv şəkildə müalicə oluna bilirlər”.
  Stomatoloq diş ətində şişkinlik və qızartının qarşısının alınmasından danışarkən qeyd edib ki, iltihabi prosesi dayandırmaq üçün onun yaranmasının əsas səbəbini – yumşaq və sərt diş ərpini aradan qaldırmaq lazımdır: 
“Adi diş fırçası ilə diş üzərindəki yığılan ərp və daşlar çıxarıla bilməz. Buna görə də, diş daşlarının təmizlənməsi üçün mütəmadi şəkildə stomatoloqa müraciət etmək tövsiyə olunur. Bundan əlavə, diş ətlərinin sağlam qalması üçün gündəlik fırçalama, diş ipi, diş həkimi tərəfindən mütəmadi müayinələr və siqaretdən imtina kimi profilaktik tədbirlər görülməlidir”.
 Parodont xəstəliklərinin müalicəsi məsələsinə toxunan  Ə.Kazımov  deyib ki, bu xəstəliklərin müalicəsi xəstəliyi törədən səbəblərin aradan qaldırılması ilə başlayır: 
“Əgər düzgün qoyulmayan plomblar, düzgün hazırlanmayan qapaqlar, körpüyəbənzər protezlər və ortodontik aparatlar varsa, bu zaman onlar yenisi ilə əvəz olunmalıdır. Eyni zamanda ağız gigiyenası korreksiya edilməli və diş daşları təmizlənməlidir. Ağır hallarda yerli iltihab əleyhinə müalicə, parodontal ciblərin açıq və ya qapalı kuretajiı həyata keçirilir. Yerli müalicə prosesində parodontal ciblərə daxil edilən dərman preparatları tez bir zamanda yuyularaq, oradan çıxır. Bu da dərmanların terapevtik təsirini azaldır. Buna görə də parodontal sarğılardan istifadə olunur. Parodontal sarğılar dərman preparatlarının diş ətində, parodontal ciblərdə uzun müddət qalaraq, təsir göstərməsini təmin edir. Parodont xəstəliklərinin profilaktikası və müalicəsi təbii dişlərin qorunması, daha rahat çeynəmə və həzmin baş verməsi deməkdir”. Həkim  həmçinin vurğulayıb ki, parodontitin profilaktikasının əsas üsulu ağız boşluğunun fərdi gigiyenasıdır. Bura dişlərin düzgün, mütəmadi olaraq təmizlənməsi, keyfiyyətli diş fırçaları və məcunların istifadəsi və s. aiddir”.